Vai ai contenuti.
|
Spostati sulla navigazione
Mappa del sito
Accessibilità
Contatti
Cerca nel sito
solo nella sezione corrente
Ricerca avanzata…
Tu sei qui:
Portale
→
Galleria
→
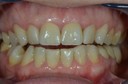
Frontali in zirconia ceramica
Navigazione
Chi siamo
Dove siamo
Lavorazioni
Estheticentre
Servizi
Attrezzature
Notizie e Pubblicazioni
Galleria
Frontali in zirconia ceramica
Informazioni utili
Come contattarci
Info
Frontali in zirconia ceramica
Azioni sul documento
Spedisci
Ultime notizie
Workshop BioHPP "Il tecnopolimero ad elevate prestazioni"
11/09/2018
Pubblicazione articolo "Compensazione con protesi avvitata di un marcato disallineamento di due assi implantari. Case report"
03/09/2018
Scanner e fresatore AMANN-GIRRBACH
05/02/2018
Altre notizie…
«
dicembre 2025
»
dicembre
lu
ma
me
gi
ve
sa
do
1
2
3
4
5
6
7
8
9
10
11
12
13
14
15
16
17
18
19
20
21
22
23
24
25
26
27
28
29
30
31
Realizzato con Plone
XHTML valido
CSS valido
Sezione 508
WCAG
Realizzazione mokabit.com